Notícias
Carraças, os carrascos dos nossos melhores amigos
15 Janeiro 2015As carraças são parasitas externos que se alimentam de sangue. Existem vários géneros de carraças Rhipicephalus, Dermacentor, Ixodes, Amblyoma e Haemaphysalis. As carraças são encontradas com mais frequência nos cães do que nos gatos. Na sua forma adulta as carraças são visíveis à vista desarmada, sendo comum encontrá-las fixadas à pele dos animais, sobretudo, nas orelhas e entre os dedos. No...
Pulgas, o verdadeiro inferno dos nossos melhores amigos
15 Janeiro 2015A pulga do cão e do gato (Ctenocephalides) é o parasita externo mais comum nos nossos animais de estimação. São insectos hematófagos (alimentam-se de sangue) que entram na nossa casa de variadas formas, mesmo quando os cães e os gatos não vão à rua ou o fazem com pouca frequência.
O cão e o gato infestados por pulgas podem sofrer muito devido à comichão intensa e, por vezes, podem...
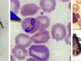
Leishmaniose canina
15 Janeiro 2015A leishmaniose é uma zoonose, doença que afecta os animais (em particular os canídeos) e os humanos, causada por um protozoário (parasita unicelular), transmitida pela picada de insectos artrópodes do género Phlebotumus. A doença encontra-se circunscrita a áreas onde se encontre o insecto vector. Na Europa a principal zona de distribuição é a bacia mediterrânea, sendo que emPortugal são várias...
A Doença Periodontal
15 Janeiro 2015Graças aos avanços na medicina preventiva e nos meios de diagnóstico os nossos animais de estimação vivem cada vez mais anos. Não é portanto de admirar que cada vez se veja mais animais com problemas dentários. Cerca de 80% dos cães e 70% dos gatos começam a apresentar sinais de gengivite com a partir dos 3 anos de idade. Com o passar do tempo, e sem os cuidados adequados, é normal a...







